Exames

Doppler



O que é?
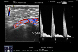
Seguindo o principio da ecografia, e utilizando a técnica de Doppler este exame permite determinar patologias arteriais e/ ou venosas ( ex: estreitamento e entupimento das artérias e coágulos das veias).
Mostra-nos imagens e sons das artérias e /ou veias.
Podem ser realizados (entre outros) estudos por eco-Doppler: Carotídeo; Membros superiores e inferiores.

É necessária alguma preparação?
É um exame, indolor, não invasivo e que não necessita qualquer preparação.