Exames
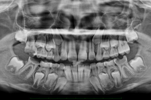
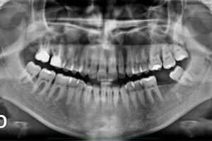
Ortopantomografia Digital
O paciente posiciona-se no ortopantomógrafo, imóvel enquanto são emitidos os Raios X movendo-se para tal o ortopantomógrafo em torno em torno do paciente (arcadas dentárias). Este exame é sempre feito por um técnico de radiologia podendo ou não ter a intervenção de um Médico (Radiologista, Dentista ou Estomatologista).


Preparação:
É um exame indolor e não invasivo, sendo portanto a preparação deste a remoção de todos os objectos metálicos existentes tais como próteses dentárias, brincos e piercings.